What you BREATHE...is what you GET
Ciò che RESPIRI..é ciò che OTTIENI
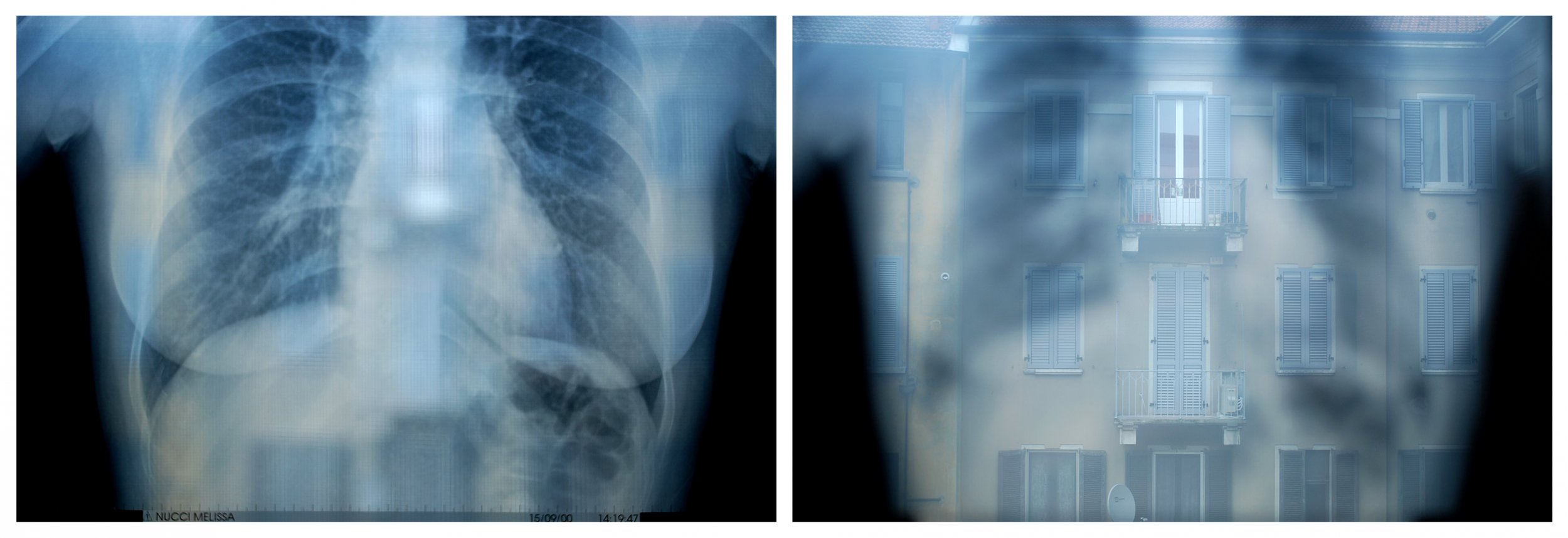
Ciò che VEDI é una radiografia appesa ad una finestra attraverso laquale si intravedono altre finestre...alcune aperte, altre chiuse.
Ciò che OTTIENI é ciò che respiri in mezzo al tutto.
Come puoi OTTENERE qualcosa che già appartiene a te, nient'altro che a te?...
...forse semplicemente prendendone atto.
RESPIRARE non ha un luogo fisico al di fuori di te stesso e delle tue emozioni, se non nel DOVE nasce e nel COME muore.











Commenti 3
Inserisci commento